ZC1042 苦味酸品红VG染色
2022-02-23
实验收费标准:
| 项目编号 | 项目名称 | 计价单位 | 单价 |
ZC1042 | 苦味酸品红VG染色 | 张 | 30元 |
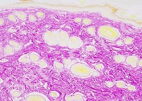
实验结果展示:

实验流程:
1、石蜡切片脱蜡至水:依次将切片放入二甲苯Ⅰ20min-二甲苯Ⅱ20min-无水乙醇Ⅰ5min-无水乙醇Ⅱ5min-75%酒精5min,自来水洗。
2、VG染色:将饱和苦味酸与酸性品红9:1混合成VG染液,染3min,快速水洗,无水乙醇三缸快速脱水。
3、透明封片:干净的二甲苯透明1-5min,中性树胶封片。
4、显微镜镜检,图像采集分析。
结果判读:
胶原纤维呈红色,其他组织成分呈黄色。
注意事项:
1、水洗要快,防止红色褪掉,无水乙醇也要快脱,防止黄色变暗。