实验收费标准:
| 项目编号 | 项目名称 | 计价单位 | 单价 |
ZC1046 | 富尔根染色 | 张 | 30元 |
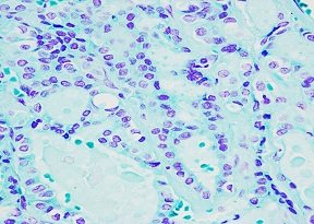
实验结果展示:

实验流程:
1、石蜡切片脱蜡至水:依次将切片放入二甲苯Ⅰ20min-二甲苯Ⅱ20min-无水乙醇Ⅰ5min-无水乙醇Ⅱ5min-75%酒精5min,自来水洗。
2、稀盐酸染色:配制1M的盐酸,置于60℃的烤箱中预热。将切片放入已预热好的1M的盐酸中于60℃烤箱中浸染30min,取出切片用常温的1M盐酸稍洗一下,蒸馏水洗3遍。
3、雪弗染色:切片入雪弗染液中暗处理60-90min,不水洗;
4、偏重亚硫酸钠染色:切片直接入偏重亚硫酸钠浸洗2次,每次2min,流水冲洗5min;
5、固绿染色:切片入固绿染液中10s至2min,无水乙醇三缸脱水。
6、透明封片:切片入二甲苯Ⅰ5min -二甲苯Ⅱ5min透明,中性树胶封片。
7、显微镜镜检,图像采集分析。
结果判读:
核DNA呈紫红色,细胞质和其他成分呈淡绿色。
注意事项:
1、雪弗染色前要用蒸馏水洗干净,染色时要避光。
2、固绿染色时,要边染边看,背景不能太深也不能过浅。冻切片-20℃运输。