ZC1029 PAS糖原染色
2022-02-28
实验收费标准:
| 项目编号 | 项目名称 | 计价单位 | 单价 |
ZC1029 | PAS糖原染色 | 张 | 30元 |
服务介绍:
PAS染色又称过碘酸雪夫染色,糖原染色。一般用来显示糖元和其它多糖物质。过碘酸能使细胞内的多糖乙二醇基氧化成二醛,再与Schiff氏液的无色品红结合,红色,定位于胞浆上
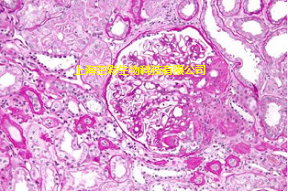
实验结果展示:

实验流程:
脱蜡至水-GDS酸化-纯水洗净-雪弗避光染色-流水显色-脱水封片
结果判读:
糖原、中性粘液物质、软骨基质、植物的真菌和细胞壁、上皮的基膜等均呈紫红色,细胞核浅蓝色
送样运输要求:
1.样本放置于20倍样本体积的固定液中固定24h以上,常温运输送样。切勿固定时间过长,切勿冷冻结冰。
2.石蜡切片常温运输,冰冻切片-20℃运输。